이 블로그에서는 의료 진단과 치료 분야에서 물리학적 원리와 기술이 어떻게 적용되는지 탐구합니다. 현대 의학에서 물리학이 어떻게 필수적인 역할을 하는지 심층적으로 분석합니다.
서론
"만약 당신이 현대 의학의 기적을 이해하고 싶다면, 물리학의 세계로 눈을 돌려야 한다" 의료 기술의 발전에는 수많은 과학 분야가 기여하지만, 물리학은 그 중에서도 특별히 중요한 위치를 차지합니다. 본문에서는 의료 진단과 치료에서 물리학적 원리와 기술이 어떻게 적용되는지, 그리고 이러한 기술이 인류의 건강과 복지에 어떤 영향을 미치는지 탐구해보겠습니다.

의료 영상 기술에서의 물리학
의료 영상 기술에서의 물리학: 깊은 이해로 질병을 들여다보다
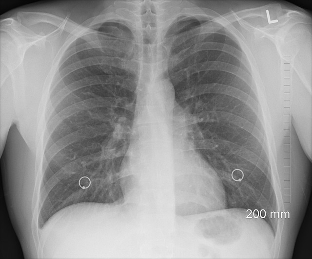
의료 영상 기술은 현대 의학에서 불가결한 부분으로 자리 잡고 있으며, 이는 물리학적 원리에 깊이 뿌리를 두고 있습니다. 이러한 기술들은 의사들이 인체 내부를 정밀하게 볼 수 있게 해주어, 정확한 진단과 효과적인 치료 계획 수립을 가능하게 합니다. X-레이, 컴퓨터 단층 촬영(CT), 자기 공명 영상(MRI), 그리고 양전자 방출 단층 촬영(PET)은 모두 물리학적 발견과 기술을 의료에 적용한 사례입니다.
X-레이는 전자기 스펙트럼의 일부로, 물체를 투과할 때 다른 밀도를 가진 조직에 따라 다르게 흡수됩니다. 이 차이를 이용해 뼈와 연조직 등 인체 내부 구조의 이미지를 생성합니다. X-레이는 골절이나 폐 질환 같은 상태를 진단하는 데 특히 유용합니다.
CT 스캔은 X-레이 기술을 활용해 인체의 여러 각도에서 이미지를 캡처하고, 이를 컴퓨터가 하나의 3D 이미지로 합성하는 과정입니다. 이를 통해, 의사는 인체의 특정 부위를 더 상세하게 볼 수 있으며, 종양이나 뇌졸중과 같은 질병의 진단에 매우 중요합니다.
MRI는 강력한 자기장과 라디오파를 사용하여 인체 내부의 세밀한 이미지를 생성합니다. 이 기술은 특히 연조직의 상태를 평가하는 데 유용하며, 뇌, 관절, 심장 등의 이미지를 높은 해상도로 제공합니다. MRI는 인체에 해를 끼치지 않는 자기장을 이용하기 때문에, 반복적인 검사에도 안전합니다.
PET 스캔은 방사성 표지자(트레이서)를 사용하여 신체의 화학적 활동과 기능을 시각화합니다. 트레이서는 신체의 특정 부위에서 대사 활동이 높은 곳에 축적되며, 이를 통해 암, 뇌 기능 장애, 심장 질환 등을 진단할 수 있습니다.
이러한 의료 영상 기술들은 물리학의 복잡한 원리를 의료 진단에 적용한 탁월한 예입니다. 에너지와 물질의 상호작용을 이해함으로써, 우리는 인체 내부의 복잡한 구조와 기능을 정밀하게 들여다볼 수 있게 되었습니다. 이 기술들은 끊임없이 발전하고 있으며, 더욱 정밀한 진단과 개인 맞춤형 치료 전략 개발에 기여하고 있습니다. 물리학과 의료 기술의 결합은 인류의 건강과 복지 향상에 중대한 역할을 하며, 앞으로도 계속해서 의학 분야를 혁신할 것입니다.
방사선 치료와 물리학: 정밀한 치료를 위한 물리학의 적용
방사선 치료는 암과 같은 질병을 대상으로 하는, 물리학적 원리에 기반한 효과적인 치료 방법입니다. 이 치료법에서는 고에너지 방사선을 사용하여 암세포를 사멸시키거나 그 성장을 억제합니다. 방사선 치료의 핵심은 정확한 물리학적 계산과 기술을 통해, 주변 건강한 조직에는 최소한의 손상을 입히면서 암세포에만 고도로 집중된 에너지를 전달하는 데 있습니다.
방사선 치료의 효과와 안전성은 물리학자들의 깊은 이해와 정밀한 계산에 의존합니다. 방사선은 다양한 형태(예: X-레이, 감마선, 전자선)로 존재하며, 각각의 특성과 조직에 미치는 영향을 정확히 이해하는 것이 중요합니다. 방사선의 에너지, 투과력, 그리고 조직 내에서의 분포는 치료 계획을 세우는 데 핵심적인 요소입니다.
외부 방사선 치료(External Beam Radiation Therapy, EBRT)는 방사선을 암에 직접 조사하기 위해 사용되는 가장 일반적인 형태입니다. 이 과정에서, 선형 가속기(Linac)와 같은 장비를 사용하여 목표 지점에 고정밀의 방사선을 전달합니다. 여기서 물리학은 조사각, 에너지 수준, 그리고 방사선 빔의 모양을 결정하는 데 결정적인 역할을 합니다. 이를 통해, 최대한의 치료 효과를 건강한 조직에 미치는 부작용을 최소화하면서 달성할 수 있습니다.
내부 방사선 치료(Brachytherapy)는 암 조직 내부나 인접한 곳에 방사성 물질을 직접 배치하는 방법입니다. 이 방법은 방사선을 매우 정밀하게 조절할 수 있으며, 특히 전립선 암, 자궁암, 피부암 치료에 유용합니다. 물리학은 방사성 물질의 선택, 배치, 그리고 방사선이 방출되는 기간을 계산하는 데 중요한 역할을 합니다.
최근에는 입체 조형 방사선 치료(Stereotactic Radiotherapy)와 같은 고도로 정밀한 치료 기법이 발전하고 있습니다. 이 기술은 물리학적 모델링과 컴퓨터 기술을 결합하여, 매우 작은 암에 고도로 집중된 방사선을 정확하게 전달할 수 있습니다. 이러한 접근법은 물리학적 계산의 정확성이 높아짐에 따라 가능해졌으며, 치료의 효과를 극대화하고 부작용을 최소화하는 데 기여합니다.
방사선 치료에서 물리학의 적용은 암 치료의 정밀도와 안전성을 크게 향상시켰습니다. 방사선 물리학자들은 치료 계획의 모든 단계에서 중요한 역할을 하며, 그들의 전문 지식은 암 환자들에게 최적의 치료 결과를 제공하기 위해 필수적입니다. 이 분야의 지속적인 연구와 기술 발전은 앞으로도 더욱 효과적이고 안전한 방사선 치료 방법을 개발하는 데 중요한 기여를 할 것입니다.
초음파 기술과 물리학: 진단의 정밀함을 높이는 소리의 과학
초음파 기술은 의료 분야에서 널리 사용되는 진단 도구 중 하나로, 물리학의 원리를 기반으로 합니다. 이 기술은 인간의 귀에 들리지 않는 고주파 소리 파동, 즉 초음파를 사용하여 인체 내부의 구조와 기능을 비침습적으로 이미지화합니다. 초음파 검사는 임신 중인 여성의 태아 검사, 심장 질환 진단, 그리고 복부 내 장기의 상태 확인에 널리 적용되며, 다른 진단 방법에 비해 비용 효율적이고, 신속하며, 환자에게 안전한 방법입니다.
초음파 기술의 작동 원리는 매우 간단하면서도 물리학적으로 복잡합니다. 초음파 기기는 트랜스듀서라고 불리는 장치를 통해 인체로 고주파 소리 파동을 보냅니다. 이 파동은 인체 내부를 여행하면서 다양한 조직과의 상호작용을 통해 반사, 굴절 또는 흡수됩니다. 반사된 파동은 다시 트랜스듀서로 돌아오며, 이 데이터는 컴퓨터에 의해 분석되어 인체 내부의 구조를 나타내는 이미지로 변환됩니다.
초음파의 핵심은 파동이 조직에 따라 다르게 반응한다는 데 있습니다. 예를 들어, 뼈와 같은 밀도가 높은 조직은 소리 파동을 많이 반사시켜 밝은 이미지를 생성하는 반면, 혈액과 같은 액체는 파동을 거의 반사시키지 않아 어두운 이미지를 생성합니다. 이러한 차이를 통해 의사는 조직의 유형, 크기, 모양, 그리고 이상 유무를 판단할 수 있습니다.
초음파 기술의 발전은 물리학의 깊은 이해와 끊임없는 연구에 의해 가능해졌습니다. 고도화된 트랜스듀서 설계와 이미지 처리 알고리즘은 보다 정확하고 상세한 이미지를 제공합니다. 또한, 도플러 초음파 기술은 혈류의 속도와 방향을 측정할 수 있게 해주어, 혈관 질환의 진단과 모니터링에 혁명을 일으켰습니다.
최근에는 3D 및 4D 초음파 이미징 기술이 개발되어, 실시간으로 인체 내부의 입체적인 이미지를 제공하고 있습니다. 이는 특히 태아의 발달 과정을 모니터링하거나 복잡한 심장 질환을 평가하는 데 있어 매우 유용합니다. 이러한 기술적 진보는 물리학적 원리에 대한 깊은 이해와 지속적인 연구 결과입니다.
초음파 기술과 물리학의 결합은 의료 진단의 정밀함을 한 단계 높였습니다. 안전하고 비침습적인 이 방법은 환자에게 편안한 경험을 제공하면서도 의료 전문가에게는 귀중한 정보를 제공합니다. 초음파 기술의 발전은 앞으로도 계속될 것이며, 이는 물리학이 의료 분야에 계속해서 중요한 기여를 할 것임을 의미합니다.
나노기술과 의료 분야에서의 물리학: 미시 세계의 혁신을 통한 치료법의 진화
나노기술은 의료 분야에서 혁신적인 변화를 가져오고 있으며, 이러한 변화의 핵심에는 물리학적 원리가 자리 잡고 있습니다. 나노기술이란 1나노미터(10억 분의 1미터)에서 100나노미터 사이의 규모에서 물질을 조작하고 응용하는 기술을 의미합니다. 이 미시적인 스케일에서 물질의 물리학적, 화학적 성질은 대량의 물질이 가진 성질과 다르게 나타나며, 이러한 특성을 의료 분야에 적용함으로써 새로운 치료법과 진단 방법을 개발할 수 있습니다.
나노입자는 그들의 작은 크기 때문에 세포와 상호작용하고 생체 분자를 인식할 수 있는 독특한 능력을 가지고 있습니다. 이러한 특성은 암세포와 같이 특정한 목표를 정밀하게 탐색하고 치료제를 직접 전달하는 데 활용될 수 있습니다. 예를 들어, 나노입자를 활용한 표적 암 치료는 전통적인 화학요법에 비해 건강한 세포에 미치는 부작용을 현저히 줄이면서 암세포에만 고도로 집중된 약물을 전달할 수 있습니다.
또한, 나노기술은 진단 분야에서도 혁신을 가져왔습니다. 나노스케일에서 작동하는 센서는 매우 낮은 농도의 바이오마커를 탐지할 수 있어, 질병을 보다 빠르고 정확하게 진단할 수 있게 합니다. 예를 들어, 나노 센서는 암, 심장 질환, 그리고 감염성 질병과 같은 조건의 초기 단계에서도 특정 분자를 탐지할 수 있습니다.
이러한 응용은 물리학의 근본적인 원리에 깊이 뿌리를 두고 있습니다. 나노 스케일에서는 양자 효과와 같은 물리학적 현상이 더욱 두드러지게 나타나며, 이는 물질의 전기적, 광학적, 그리고 자기적 성질을 극적으로 변화시킬 수 있습니다. 이러한 변화를 이해하고 조작하는 능력은 나노기술이 의료 분야에서 특히 유망한 이유 중 하나입니다.
나노기술을 통한 약물 전달 시스템의 개발은 특히 눈에 띄는 진보입니다. 이 시스템은 약물을 보호하고, 몸 안에서 정확한 위치에 약물을 방출하여 효과를 극대화하고 부작용을 최소화합니다. 예를 들어, 나노 캡슐화된 약물은 소화계를 통과하면서 약물이 분해되는 것을 방지하고, 혈류를 통해 특정 조직이나 세포로 직접 운반될 수 있습니다.
나노기술과 의료 분야에서의 물리학은 질병의 조기 진단, 표적 치료, 그리고 환자 맞춤형 의료의 새로운 시대를 열고 있습니다. 이 혁신적인 접근법은 인류의 건강과 삶의 질을 향상시키는 데 중대한 기여를 하고 있으며, 앞으로도 계속될 연구와 발전에 대한 기대가 큽니다.
결론
리처드 파인만이 지적했듯이, "물리학은 자연의 법칙을 이해하는 것"입니다. 의료 기술의 발전은 이러한 법칙들을 인간의 건강과 복지를 향상시키기 위해 어떻게 적용할 수 있는지에 대한 우리의 이해를 반영합니다. 의료 진단과 치료에서 물리학적 원리와 기술의 적용은 끊임없이 발전하고 있으며, 이는 우리가 질병을 대하는 방식을 근본적으로 변화시키고 있습니다. 물리학은 의료 과학의 미래를 형성하는 데 계속해서 중요한 역할을 할 것입니다.
'물리학' 카테고리의 다른 글
| 물리학 교육에서 과학적 사고의 육성: 효과적인 방법론과 전략 (0) | 2024.03.12 |
|---|---|
| 환경 문제 해결을 위한 물리학적 접근 방법 (0) | 2024.03.12 |
| 스포츠 과학: 스포츠에서의 물리학적 분석과 기술의 적용 (0) | 2024.03.10 |
| 창의적인 실험과 데모: 가정에서 할 수 있는 물리학 실험 (2) | 2024.03.10 |
| 물리학의 역사와 철학: 물리학 발전에 기여한 인물과 이론 (0) | 2024.03.10 |